封面新闻记者谭羽清宁芝
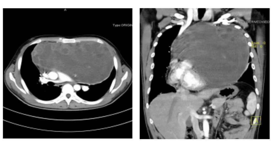
近日,四川大学华西医院肺癌中心周清华教授团队克服重重挑战,通过5个小时手术,为一例纵隔肿瘤压迫心脏、侵犯心包,伴肺功能极重度受损的29岁男性患者,成功摘除重达8.7kg、接近足球直径大小的罕见巨大恶性肿瘤。

对此,封面新闻记者专访四川大学华西医院肺癌中心学术主任、肺癌研究所所长周清华教授,了解到本次摘除的肿瘤为纵隔生殖细胞瘤,此类肿瘤在他的工作中并不算罕见,团队每年都会进行几十,甚至上百例相关手术,比本次接诊病人肿瘤更大,手术难度更高的病例也时有出现。
什么是纵隔生殖细胞瘤?
纵隔生殖细胞瘤顾名思义就是长在纵隔内的生殖细胞瘤。生殖细胞瘤则是起源于原始生殖细胞的一类肿瘤,约有90%的生殖细胞瘤生长在卵巢、睾丸等性器官内,但也有10%的可能生长在身体其他地方,其中纵隔就是最容易发生的部位。
而在各类纵隔肿瘤中,生殖细胞瘤也是较为常见的,占比约20%,排在更常见的胸腺瘤、神经源肿瘤之后,居第三位。
此外,学界按病理类型已将纵隔生殖细胞瘤分为了7类,分别为生殖细胞瘤、成熟性囊性畸胎瘤、未成熟性囊性畸胎瘤、胚胎癌、内胚窦瘤、畸胎癌和原发性绒癌。
不同类型的纵隔生殖细胞瘤的危险程度也不一样,本次为患者摘除的纵隔生殖细胞瘤属第一类,即生殖细胞瘤。这类肿瘤虽然容易被误诊为胸腺瘤,但预后相对较好,10年生存率可以达到60%~70%。
治疗难点多考验医疗团队综合实力
采访中周清华教授告诉记者,纵隔生殖细胞瘤的大小、类型以及它与周围组织器官的关系都会影响到手术治疗的难度,“个体小且包膜完整,对周围组织没有任何侵犯的小肿瘤的手术是很容易做的,但大肿瘤的手术就很困难,比如像这次救治的病人,手术难度就比较大。”
因为想取出一颗大个头的纵隔生殖细胞瘤,术中保证患者生命体征稳定、完整切除肿瘤和受侵的组织器官,同时保证肿瘤不复发、患者术后器官各项功能可正常恢复,单是手术过程就十分复杂了,需要主刀医生具有非常强的传统外科手术技术。本次周清华教授救治这位病人时就在短短5小时内实施了纵隔肿瘤切除、部分心包切除术、心包补片修补重建、左肺上叶前段切除术、左肺上叶下舌段切除术五项操作。
此外,要确保手术顺利完成,不论是术前的准备还是术中的人员配合,都很考验医疗团队和医院的综合能力。
在手术前,医疗团队会根据患者状态,汇集胸外科、麻醉科、放射科、ICU、手术室,以及心内科等相关科室的医护人员进行多学科讨论,制定详细的手术预案和手术方案,选择参与手术的医护人员,并做好手术中需要的器械、耗材的准备。从手术中可能出现的风险,到手术切除范围、切除的难度,再到切除后器官如何重建都要做尽可能充分讨论和设计。
在手术中,主刀医生、手术助手、麻醉师、护士等相关人员则需要很好地配合,因此这种手术除了对主刀医生的知识结构、临床经验,外科手术技能要求很高以外,对麻醉等其他相关人员的临床经验、学术水平的要求也很高。
病因不明CT检查是主要诊断方法
“各个年龄段都可能发生(纵隔生殖细胞瘤),但它主要发生在儿童、青少年时期,女性多于男性,目前学界还不明了它的病因,也基本无法预防。”
据周清华教授介绍,纵隔生殖细胞瘤生长初期患者不会感到异样,只有它长大后压迫、侵犯到周围的器官或组织后患者才会出现如胸闷、胸痛、头面部水肿、眼睑水肿、心力紊乱、呼吸困难等症状才会去看医生。因此,到医院就医的患者往往已在病程的中、晚期,导致治疗难度增加。
比如在他接诊的纵隔生殖细胞瘤病人中,病情最严重的患者之一是个14岁的少年。在前往华西医院就诊前,他曾经过近一年多辗转全国多地大医院求医、化疗放疗等治疗,但肿瘤不但没有缩小,反而越长越大。当他来到华西医院时,肿瘤最大截面直径已超过30厘米,肿瘤推移压迫导致气管、左右主支气管狭窄和心脏严重挤压移位。为了缓解呼吸困难症状,这个少年在入院前的近8个月只能坐立左侧倾斜位睡觉。
针对纵隔生殖细胞瘤这类疾病,目前主要措施就是利用胸部增强CT早期诊断,一旦确诊就立即进行治疗,包括根据肿瘤大小、部位,对邻近组织器官侵犯、推移压迫情况不同,采取直接手术或先辅助化疗、放疗等措施后再手术,并没有有效的预防方法。
那么,目前面对这种潜藏的炸弹大家就完全束手无策了吗?周清华教授建议如果有条件,到了此类疾病的高发年龄,即十几岁的时候,可以每年体检时做一次胸部CT扫描,这有助于尽早发现早期的纵隔生殖细胞瘤并及时进行治疗。
【如果您有新闻线索,欢迎向我们报料,一经采纳有费用酬谢。报料,报料QQ:3386405712】